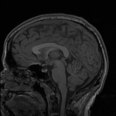
I used the Maker Hub 3D printers to print out a 1:1 scale model of my own brain after getting an MRI this past summer. Additionally, I printed the brains of about 26 participants in a neuroimaging study I was a research assistant for during Summer 2018. 3D printing helped facilitate my research by providing our 9-13 year old participants with scale models or their individual brains, both providing them with a physical reminder of the study and allowing them to feel involved.
A full write-up on this project can be found here: https://sites.google.com/view/ryanamannion/projects/3DBrains
Creators
Ryan Mannion
Cameron McKay
Gabrielle-Anne Torre
Library Staff
Image
Image
Image
Image
Image
Image
Image
Equipment Used